近期,中国科学院合肥肿瘤医院医学病理部在肿瘤精准诊断研究方面取得进展,发展了传统组织学形态结合新型免疫标志物相结合的新技术方法,实现了食管罕见恶性肿瘤-食管腺样囊性癌的精准诊断,研究结果发表在《International Journal of Clinical and Experimental Medicine》上。
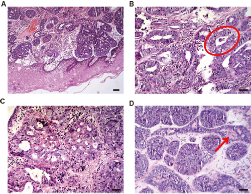
食管腺样囊性癌是一种罕见食管恶性肿瘤,容易被误诊为其它食管恶性肿瘤。近期中国科学院合肥肿瘤医院收治了一名从外院不能明确病理分型的转诊患者,科研人员通过对其组织病理病理特征进行了全面的研究,组织学检查显示病变组织呈管状、筛状、实型三种典型结构。免疫组化分析显示,肌上皮细胞标志物CD10和p63标记细胞位于管状和筛状模式的外层,而腺细胞标志物CK7和CK8阳性细胞则聚集在内层。随着病变组织形态由管状、筛状向实性发展,CK7、ck8标记的内细胞逐渐消失,而p63阳性细胞扩散至整个肿瘤肿块,同时伴随上皮向间质转化标记物波形蛋白染色增强。这些新的免疫组织化学特征结合经典的组织学模式,将可以给予食管腺样囊性癌精确诊断并提供靶向治疗靶标。
文章链接:http://ijcem.com/files/ijcem0076146.pdf

组织学检查结果

免疫组化结果